#Наука в России

Исследователи физического факультета МГУ совместно с врачами Медицинского научно-образовательного института (МНОИ) и факультета фундаментальной медицины впервые показали способность импульсного высокоинтенсивного фокусированного ультразвука механически разрушать ткань лейомиосаркомы человека без нагрева и разрезов. Лейомиосаркома – очень агрессивная злокачественная опухоль и одна из наиболее распространенных типов сарком мягких тканей. Ученые МГУ успешно применили метод гистотрипсии для бесконтактного разрушения ткани лейомиосаркомы человека ex vivo (т.е. вне организма), превращая целевую опухолевую ткань в бесструктурную жидкость под контролем УЗИ-визуализации. Результаты пилотных экспериментов подтверждают перспективность разрабатываемого метода в качестве неинвазивной альтернативы существующим хирургическим и медикаментозным методам лечения сарком. Результаты работы, выполненной в рамках Междисциплинарной научно-образовательной школы МГУ «Фотонные и квантовые технологии. Цифровая медицина», опубликованы в высокорейтинговом журнале Q1 Ultrasonics.

Лейомиосаркома – агрессивная и быстрорастущая злокачественная опухоль, развивающаяся из гладкомышечной ткани, и один из самых распространенных типов сарком. Такая опухоль может возникать в различных анатомических областях, но чаще всего встречается в забрюшинном пространстве, матке, конечностях и кровеносных сосудах. Сейчас стандартом лечения является хирургическое удаление опухоли, иногда в сочетании с лучевой и химиотерапией, однако далеко не все пациенты могут перенести такое лечение, а в неоперабельных случаях пациентам оказывается лишь паллиативная помощь. Поэтому исследователи ищут новые, щадящие и при этом эффективные методы локального нехирургического лечения лейомиосаркомы.

«Идея нашего метода заключается в фокусировке периодической последовательности высокоамплитудных ультразвуковых импульсов миллисекундной длительности от излучателя, расположенного вне тела пациента, через кожу и здоровые ткани на патологическую область, которая разрушается не за счет ультразвукового нагрева, а механически при воздействии на опухоль нелинейных акустических волн с резкими перепадами давления (ударными фронтами), – объясняет Вера Хохлова, руководитель проекта НОШ МГУ и со-руководитель Лаборатории медицинского и промышленного ультразвука МГУ (LIMU). – В результате нежелательная ткань дистанционно “перемалывается” в бесструктурную суспензию, не повреждая при этом здоровые ткани, окружающие целевую область или находящиеся на пути к ней, а весь процесс можно наблюдать и контролировать с помощью доступных диагностических аппаратов УЗИ».

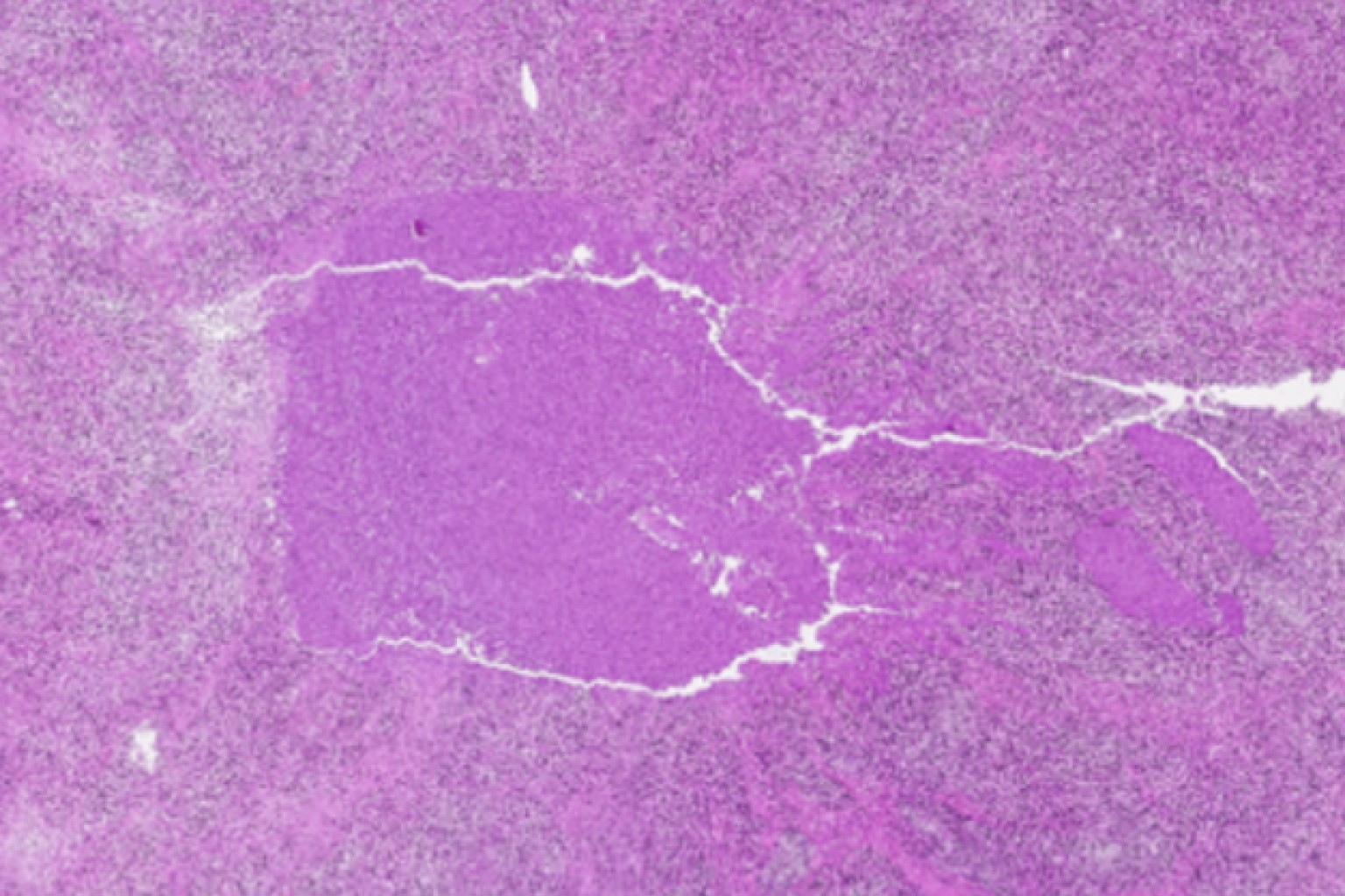
Гистологический анализ микроструктуры образцов опухолей после ультразвукового воздействия подтвердил полное разрушение опухолевых клеток в целевых объемах при сохранении четких границ шириной менее 200 мкм между разрушенной и интактной тканью.

«В нашем исследовании рассматривалась классическая лейомиосаркома, являющаяся наиболее часто встречающимся подтипом этой опухоли, – отмечает руководитель одного из коллективов проекта, заведующий отделом клинической патологии МНОИ МГУ Павел Мальков. – При этом можно предположить, что другие типы лейомиосарком, такие как миксоидная с более низкой плотностью клеток или плеоморфная с меньшим содержанием соединительной ткани, окажутся еще более чувствительными к их механическому разрушению методом ультразвуковой гистотрипсии».

«Полученные результаты демонстрируют, что лейомиосаркома может быть эффективно разрушена механически с использованием высокоамплитудного импульсного фокусированного ультразвука, и закладывают прочную основу для будущих исследований in vivo, – рассуждает руководитель одного из коллективов проекта, заведующий отделением ультразвуковой диагностики МНОИ МГУ Алексей Кадрев. – Это открывает путь к разработке неинвазивных методов локального лечения сарком, особенно в случаях, когда хирургическая операция невозможна».