#Наука в России

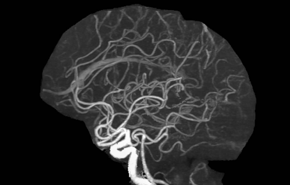
Научный коллектив специалистов МГУ имени М. В. Ломоносова, Московского политехнического университета и ООО "Гаммамед-Софт" разработал уникальный алгоритм с применением искусственного интеллекта для автоматического выявления стенозированных (суженных) участков артерий головного мозга. Как сообщили в пресс-службе Московского политехнического университета, оценка сосудов выполняется на основе данных компьютерной томографической ангиографии (КТА).

"Новая методика позволяет автоматически реконструировать сосудистое дерево пациента и рассчитывать морфологические параметры для точной детекции областей патологического сужения сосудов. Основной целью исследования является создание эффективного инструмента для автоматической идентификации стенозов церебральных артерий на трехмерных КТА-изображениях", - отметили в пресс-службе.

Тестирование алгоритма на выборке из 118 КТА-серий показало высокую точность детекции стенозов - 83,1%. Также сделана трехмерная визуализация реконструированного сосудистого дерева с указанием локализации выявленных патологических сужений. Внедрение алгоритма в клиническую практику позволит значительно ускорить и упростить процесс диагностики стенозов интракраниальных артерий.

Результаты исследования представлены в рамках международной конференции "Язык, сознание, коммуникация: методология и гуманитарные практики", организованной Московским политехническим университетом, Институтом лингвистики и межкультурной коммуникации Сеченовского университета, филологическим факультетом МГУ имени М. В. Ломоносова, Донецким национальным университетом и НОЦ межкультурной коммуникации имени А. А. Леонтьева в рамках "Недели медицинского образования - 2024".

Источник: ТАСС