Ученые выяснили, что у чувствительных к гипоксии мышей — животных, которые быстро начинают задыхаться при недостатке кислорода, — рак толстой кишки развивается в разы быстрее, чем у устойчивых особей. Это связано с более сильным воспалением в тканях и изменением реакций иммунной системы на появление раковых клеток. Такие отличия нужно учитывать при тестировании на животных лекарственных препаратов для борьбы с новообразованиями. Результаты исследования, поддержанного грантом Российского научного фонда, опубликованы в журнале PeerJ.

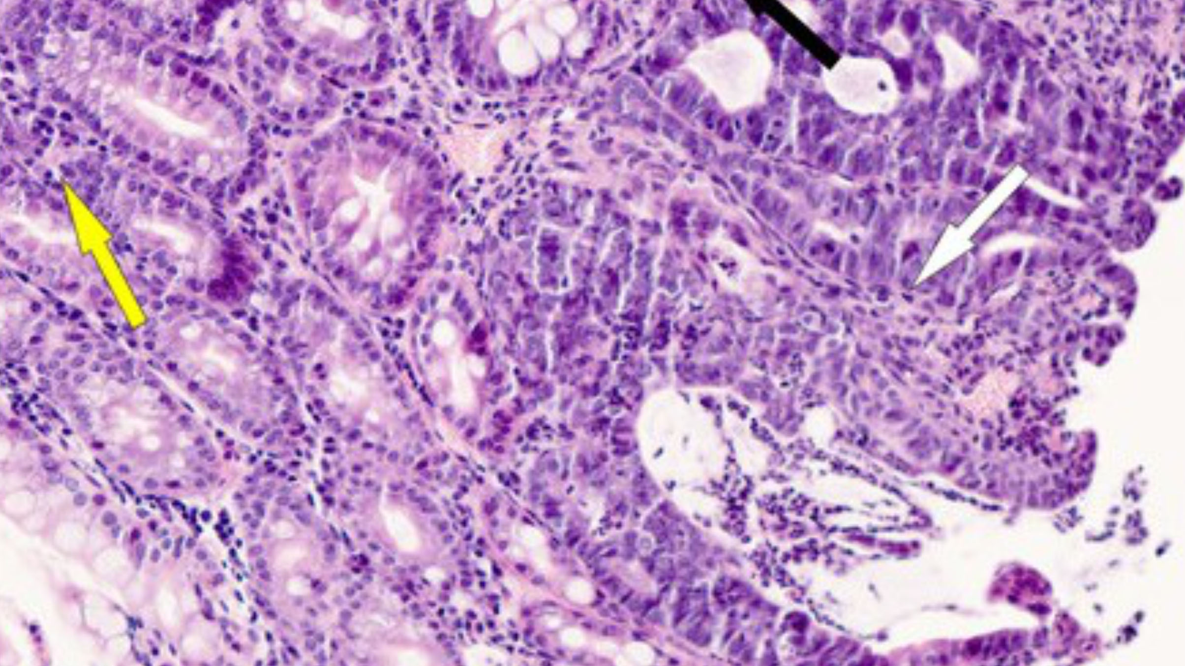
Образцы ткани толстой кишки с новообразованиями у устойчивых (А) и чувствительных (В) к гипоксии мышей. Источник: Dzhalilova et al. / PeerJ, 2025
Воспаление в тканях может способствовать развитию опухолей. Так, например, происходит в случае рака желудка и колоректального рака (рака толстой кишки). Воспаление сопровождается выделением провоспалительных веществ и других молекул, которые вызывают повреждение ДНК здоровых клеток. Это, в свою очередь может привести к их перерождению в опухолевые.
Один из основных методов лечения рака — это иммунотерапия. В рамках этого подхода с помощью лекарственных препаратов врачи искусственно активируют иммунитет пациента, «заставляя» его убивать новообразования. Однако такое лечение не всегда эффективно из-за того, что опухоль может подавлять иммунную систему. Исследования показали, что одна из причин этого — недостаток кислорода (гипоксия), которая возникает в опухоли. Однако какие именно изменения происходят в иммунной системе в ответ на гипоксию, оставалось не до конца понятным.
Ученые из Российского научного центра хирургии имени академика Б.В. Петровского смоделировали развитие колоректального рака у мышей с разной чувствительностью к недостатку кислорода. Это позволило проследить, как различается иммунный ответ в случаях, когда ткани сильно страдают от гипоксии или, наоборот, почти не реагируют на нее.

Краткое резюме исследования. Источник: Dzhalilova et al. / PeerJ, 2025
Сначала авторы поместили 60 мышей в камеру с низким содержанием кислорода и оценили, спустя какое время у животных нарушится дыхание. По результатам эксперимента исследователи разделили всех мышей на три группы: устойчивые к гипоксии (17 животных), нормальные (25 животных) и чувствительные к гипоксии (18 животных).
В брюшную полость чувствительным и устойчивым животным ученые ввели азоксиметан — вещество, способствующее развитию опухолей. Сначала у мышей наблюдались признаки воспаления в кишечнике, а затем стал развиваться колоректальный рак. При этом опухоли появились у 85% восприимчивых и 42% устойчивых животных.
Спустя почти пять месяцев эксперимента биологи взяли у мышей образцы опухолей, а также органов иммунной системы — тимуса, селезенки и лимфатических узлов. Кроме того, мышам провели анализ крови.
Анализ показал, что у чувствительных к гипоксии мышей опухоли были примерно в три раза крупнее, чем у устойчивых. Кроме того, у этой группы в крови и в лимфатических узлах было больше В- и Т-лимфоцитов — защитных иммунных клеток, — а сами лимфатические узлы оказались крупнее. В селезенке чувствительных мышей были увеличены области, в которых формируются новые лимфоциты. Все это говорит о том, что у восприимчивых к недостатку кислорода мышей в ответ на развитие опухоли активировался более сильный иммунный ответ, который, однако, оказался неэффективен против новообразований. Это может быть связано с тем, что иммунные клетки у чувствительных грызунов были дисфункциональными — проявляли нарушенные функции. То есть, хоть их число и было увеличено, они работали неправильно.
«Исследование показало, что недостаток кислорода по-разному влияет на ответ иммунной системы на появление опухолей у восприимчивых и устойчивых к гипоксии мышей. Так, у чувствительных животных в ответ на гипоксию изначально развивается более сильное воспаление и реакция иммунной системы. Вероятно, эти различия объясняют более быстрое прогрессирование рака у чувствительных животных. В дальнейшем мы планируем разрабатывать подходы, направленные на изменение темпов прогрессирования опухолей прежде всего у чувствительных к гипоксии организмов, которые находятся в группе риска», — рассказывает руководитель проекта, поддержанного грантом РНФ, Джулия Джалилова, кандидат биологических наук, ведущий научный сотрудник лаборатории иммуноморфологии воспаления НИИМЧ имени академика А.П. Авцына Российского научного центра хирургии имени академика Б.В. Петровского, доцент кафедры гистологии Медицинского университета Петровского.
Источник: Пресс-служба РНФ